Signed in as:
filler@godaddy.com
Signed in as:
filler@godaddy.com






Young male patient presented with pain and paresthesias in right upper limb
Neutral position: Sagittal T2 MRI of cervical spine showing normal canal dimensions

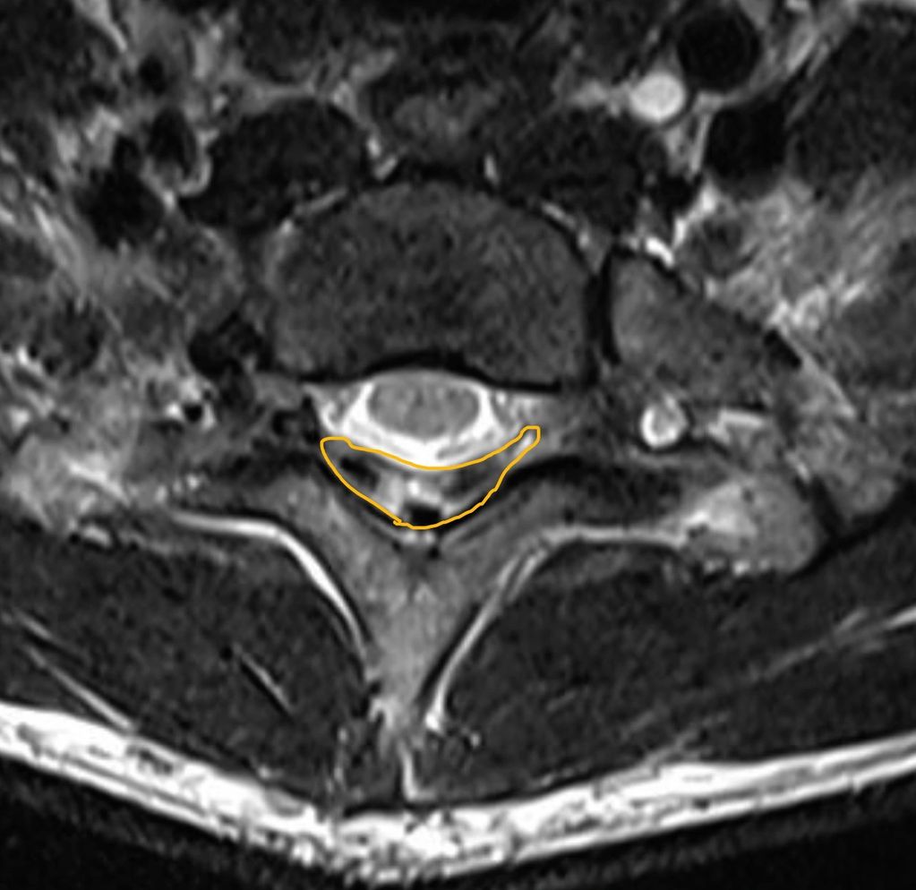
Neutral position: Axial T2 MRI of cervical spine showing right hemicord signal changes
Flexion MRI: Sagittal T2 weighted image of cervical spine showing posterior dural laxity/increase in laminodural space with flattening of the cord

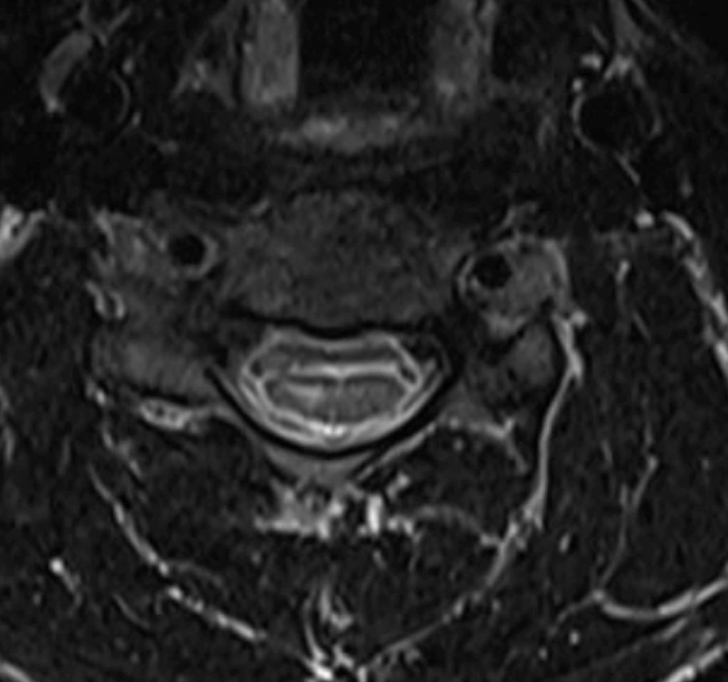
Flexion MRI: Axial T2 weighted image of cervical spine showing posterior dural laxity/increase in laminodural space flattening of the cord

Flexion MRI: Post-contrast sagittal MRI showing enhancement of the epidural space






Clues to differentiate neoplastic vs non-neoplastic etiology
Intratumoral hemorrhage

Non-neoplastic hemorrhage





This website uses cookies. By continuing to use this site, you accept our use of cookies.